How the Digital CAD/CAM Process Works in Dentistry
The digital CAD/CAM process in dentistry has transformed how dental prosthetics, crowns, and restorations are created. Combining precision and speed,…
Dental implant + crown over implant + accommodation + VIP transportation.
3D porcelain veneers + teeth whitening + 5-star accommodation.
All-on-4 implants + fixed prosthesis + full stay + city tour.
* FullFace Microfocused Ultrasound - $ 2.500
* Sculptra - Collagen biostimulator - $ 900
Total = $ 3.400
* Hyaluronic acid filler
(4 syringes) - $ 1.200
* Botox FullFace - $ 800
Total = $ 2.000
* Hyaluronic acid filler
(8 syringes) - $ 2.400
* Botox FullFace - $ 800
Total = $ 3.200
Here’s how simple it is to transform your smile with us:
You send us your panoramic X-ray and, if necessary, your 3D tomography for initial analysis.
We schedule a virtual consultation to define your personalized treatment plan and present your estimate.
Once everything is aligned, we sign a service agreement to ensure transparency and your full peace of mind.
You make a 50% payment of the total amount to start the process.
Our team will guide and assist you in applying for your tourist visa to Brazil.
We coordinate the dates of your treatment and your stay according to your availability.
We take care of booking your flights and hotel so you can travel stress-free.
On your arrival day in Brazil, our team will be there to welcome you at the airport and take you to your hotel — and, of course, we’ll do the same on your way back.
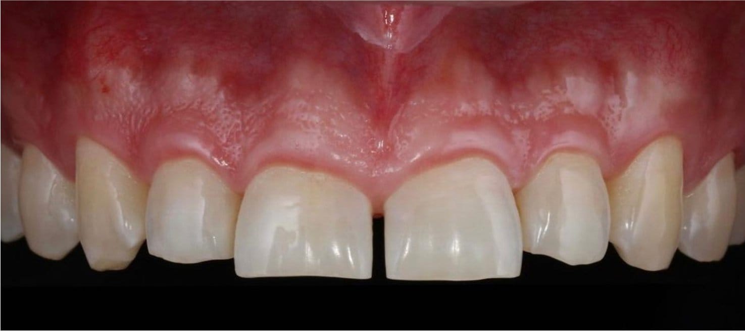
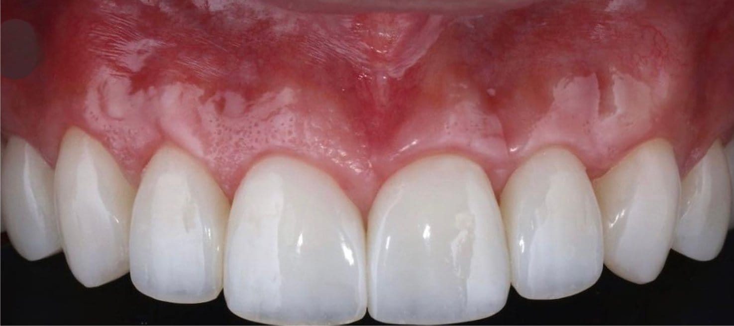
A real smile transformation made possible with our advanced techniques and personalized care. See the difference Speed Dental Care can make!


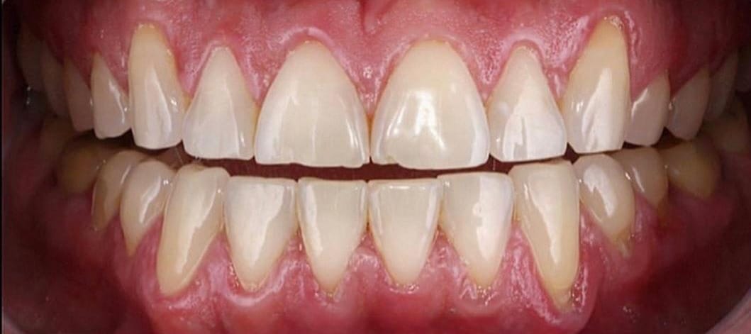
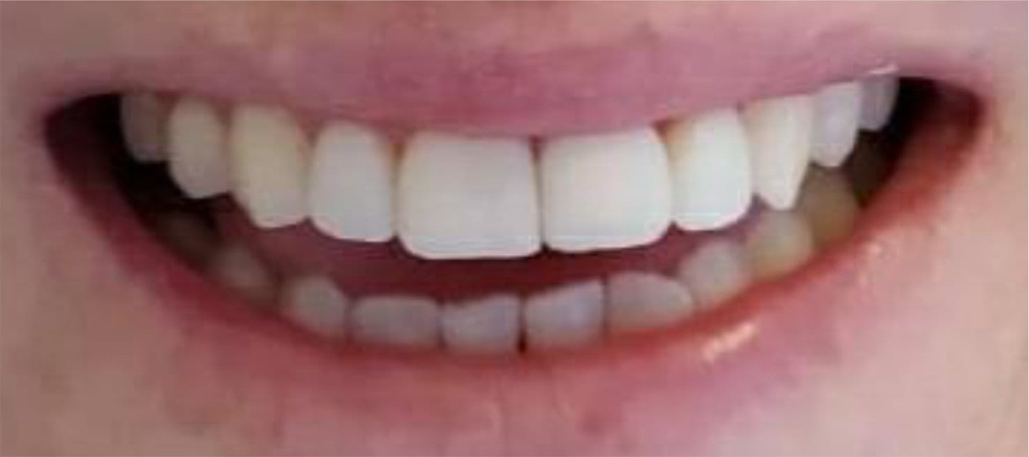
Rehabilitation with veneers


Rehabilitation with veneers


Rehabilitation with veneers


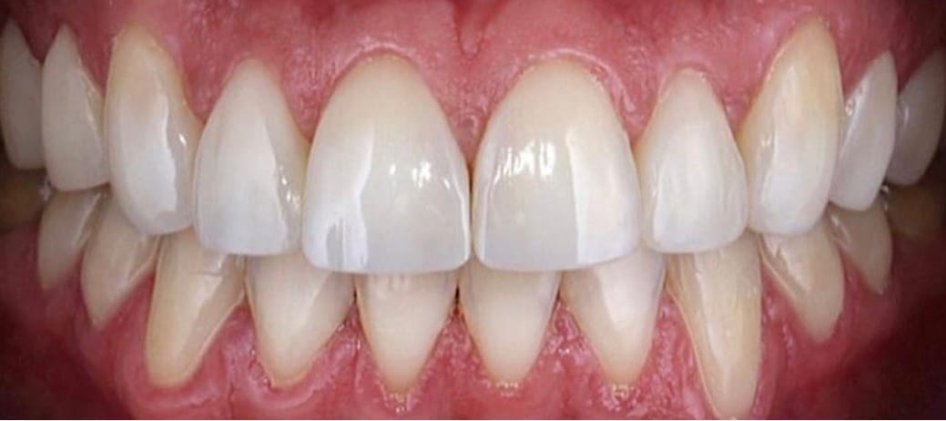
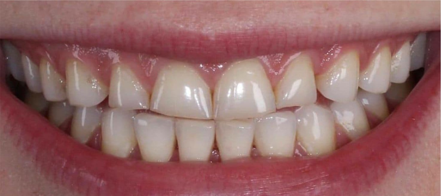
Rrehabilitation done with porcelain veneers


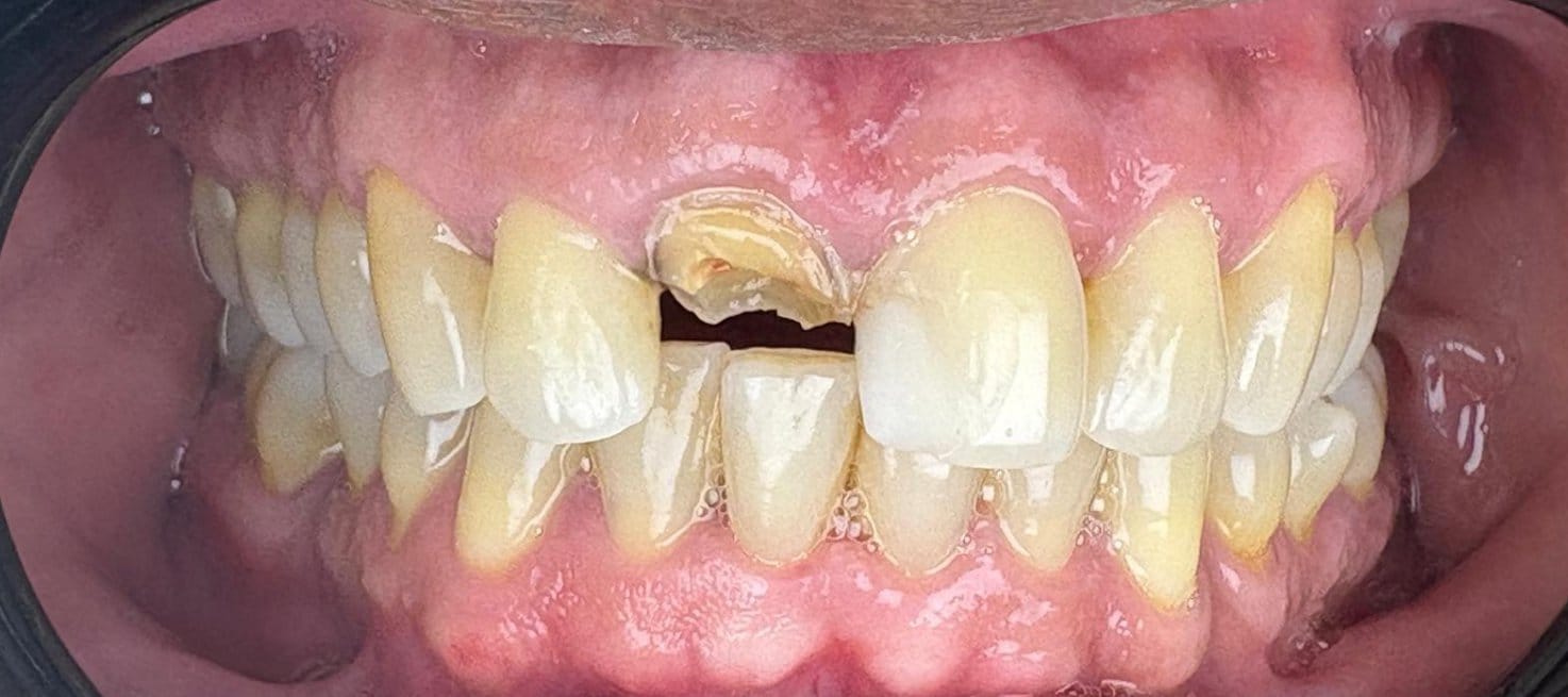
Rehabilitation with composite resin and fiberglass pin


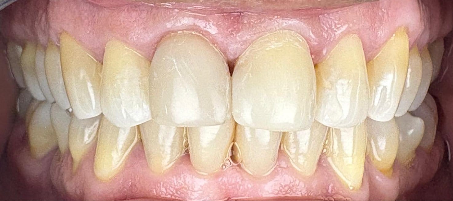
Gum plastic surgery

CAD/CAM is a technology that combines design software and manufacturing equipment to create dental restorations such as crowns, bridges, veneers and complete dentures.
Speed: Restorations can be produced and completed in a single appointment. Accuracy: Perfect fit, eliminating complex manual adjustments. Comfort: Digital scanning is more comfortable than traditional impressions. Durability: High-quality materials ensure longer-lasting restorations.
The digital CAD/CAM process in dentistry has transformed how dental prosthetics, crowns, and restorations are created. Combining precision and speed,…
Discover the real savings of dental tourism in Brazil. Compare treatment costs, understand what's included in the packages, and see…
Timing your dental trip to Fortaleza can make your experience even better. We break down the best seasons to travel,…
Dental tourism is a smart way to optimize your budget by visiting another country while receiving high-quality dental treatment. It's the perfect opportunity to care for your smile and explore a new culture.
We provide personalized care from your first virtual consultation to post-treatment follow-up. We plan your entire journey to ensure a safe, efficient, and comfortable experience.
You’ll need to provide a valid photo ID (passport or government-issued ID), and in some cases, recent dental X-rays for the initial evaluation.
We accept various payment options, including credit cards, international wire transfers, and digital payment platforms.
Brazil is internationally recognized for offering high-quality dental care, ranking second in the world for dental excellence. And the cost is often just one-third of what is charged in the U.S.
Yes, we use only high-quality materials certified by leading European and international regulatory agencies.
Depending on the procedure, you can save between 30% and 70% — receiving excellent care while enjoying greater financial flexibility and added travel experiences.
Absolutely! Many of our patients take the opportunity to enjoy the destination, exploring its beauty and culture before or after their dental treatment. We only remind you to follow your dentist’s post-treatment recommendations to ensure a smooth and safe recovery.
Yes, porcelain treatments such as veneers and crowns can often be completed in a short timeframe, depending on your treatment plan and case complexity.
Yes! Our team is fully prepared to care for international patients, with professionals fluent in English, Spanish, and Portuguese to ensure clear and effective communication.